
많은 사람들이 단지증이라는 질환을 가지고 살아가고 있습니다. 단지증은 손가락이나 발가락이 정상보다 짧게 발달하는 현상으로, 특히 새끼손가락에서 자주 발견됩니다. 이로 인해 일상생활에서 여러 불편함을 겪는 분들이 많습니다.
그래서 많은 분들이 수술을 고려하게 됩니다. 하지만 수술은 결코 가볍게 접근할 수 있는 것이 아니며, 수술의 고려사항과 이후 발생할 수 있는 합병증에 대해 충분히 이해하고 있어야 합니다.
그래서 오늘은 새끼손가락 단지증 수술의 고려사항과 합병증에 대해 깊게 알아보려 합니다. 이 글을 통해 단지증 수술의 모든 것을 이해하고, 본인의 상황에 맞는 최선의 결정을 내릴 수 있기를 바랍니다.
※본 포스팅은 전문의 요약본입니다. 더 자세한 내용은 아래 링크를 참고하세요.
단지증의 증상
단지증은 주로 미관상의 문제를 제기합니다. 손가락이나 발가락 부위가 짧아서 일상생활에서 불편을 겪는 경우가 많습니다. 또한, 단지증은 손가락이나 발가락의 힘이 약해져 통증을 유발하거나 걸음걸이에 문제를 일으킬 수 있습니다. 이로 인해 우울증이나 대인기피증과 같은 정서적 문제도 발생할 수 있습니다.


단지증 진단의 시작
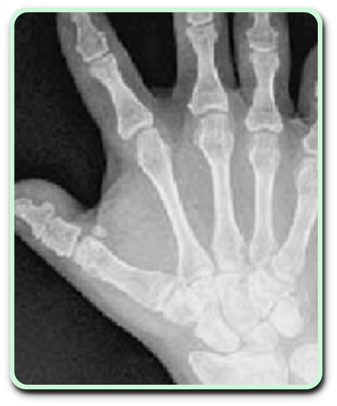
의사는 환자의 병력을 청취하고 신체검사를 통해 단지증을 진단합니다. 손가락이나 발가락의 운동 가능 각도와 변형 여부 등을 확인하고, 필요시 엑스레이 촬영을 통해 진단을 확인합니다.
단지증 치료: 수술을 고려해야 할까?
단지증의 치료 방법은 수술이 유일한 선택입니다. 통증이 심한 경우나 불편감이 크게 나타나는 경우에는 수술을 고려할 수 있습니다. 그렇지 않은 경우에는 생활에 큰 불편함이 없다면 수술을 하지 않아도 됩니다.


단지증: 수술 고려 사항
단지증에 대한 수술은 발가락을 조금씩 늘려 본래의 길이에 도달하도록 발가락을 절골하거나 골반뼈를 이용하여 수행됩니다. 내 고정 방식과 외 고정 방식 중 선택할 수 있으며, 주요 목표는 짧은 손가락과 발가락의 길이를 조절하여 미적인 측면을 고려하는 것입니다. 따라서 단지증 수술은 전문 병원에서 진행하는 것이 바람직합니다.
단지증 수술 방법
뼈 삽입 방법과 외고정 기구를 사용한 점진적 늘리는 방법으로 수술이 진행됩니다. 전자는 한 번에 늘리는 방식이며, 후자는 외고정 기구를 이용하여 뼈를 점진적으로 늘리는 방식입니다.
단지증 수술과 의료보험
단지증의 경우, 의료보험 적용 기준은 보행에 지장이 생기는 등 일상생활에 지장이 있다고 판단되는 경우에 해당됩니다. 의료보험 적용 시 발가락 한 개당 약 150만 원의 비용이 발생하며, 보험 적용이 되지 않을 경우 약 450만 원의 추가 비용이 필요합니다.
단지증 수술의 부작용과 후유증
단지증 수술은 부작용이나 합병증이 적지만, 수술 후 발바닥이 수술 부위에 적응하는 시간이 필요합니다. 이러한 후유증은 일부 환자들이 지속적인 불편감을 경험할 수 있으나, 이를 최소화하기 위해 정기적인 진료가 필요합니다.

단지증을 겪는 연예인들
배우 박신혜와 소녀시대의 써니는 단지증을 겪고 있으며, 이에 관한 일화가 전해지고 있습니다. 해외 배우 메간 폭스 또한 유명한 단지증 환자 중 한 명입니다.
발가락 엄지손가락 단지증 연예인 박신혜, 써니, 메간폭스 (우렁손톱,우렁발톱)
단지증의 예방 및 관리 방법
단지증은 주로 선천적인 요인으로 발생하므로 예방법이 한정적입니다. 통증 관리가 중요하며, 의사와 상의하여 적절한 치료법을 찾는 것이 바람직합니다.
결론
새끼손가락 단지증 수술 고려사항, 합병증은? 발가락 단지증라는 주제로 이야기를 나눠보았습니다. 단지증은 선천적으로 발생하는 질환으로, 이로 인해 많은 사람들이 불편함을 겪고 있습니다. 그래서 수술을 통해 이 문제를 해결하려는 사람들이 많지만, 수술의 고려사항과 합병증 역시 크게 고려해야 하는 요소입니다.
하지만 이 글을 통해 얻은 정보만으로는 충분하지 않을 수 있습니다. 단지증을 가진 분들, 혹은 단지증에 관심이 있는 분들은 본인의 상황에 맞춰 추가적인 정보를 찾아보시는 것을 권장드립니다. 또한, 전문적인 의료 상담을 받는 것도 중요합니다.
이 글이 단지증을 가진 분들에게, 그리고 이 문제에 대해 깊은 고민을 가진 분들에게 도움이 되었기를 바랍니다. 여러분의 건강하고 행복한 일상을 응원합니다.
👇출처 자료 전문 보기👇
단지증 수술 치료 해야할까?, 엄지 발가락과 손가락, 연예인들도?
단지증 수술 치료 해야할까?, 엄지 발가락과 손가락, 연예인들도? - 메디컬 선데이
단지증의 경우에는 발가락을 절골하여 발가락을 조금씩 늘리고, 본래의 길이에 도달하게 도움을 주는 것입니다. 더불어, 골반뼈를 떼어내어 해당 부위에 채워 넣는 방법을 시행하기도 합니다.
medicalsunday.com
목차
'건강 재활 의료 정보' 카테고리의 다른 글
| 허리디스크 골반 통증과 틀어짐을 유발하는가? 그 원인은 무엇인가? (0) | 2024.02.16 |
|---|---|
| 새끼손가락 단지증, 유전에 의한 것일까? 그리고 수술은 필요한가? (0) | 2024.02.13 |
| 새끼손가락 휘어짐의 모든것, 굴지증 치료방법과 관리, 손가락 변형 통증 (0) | 2024.02.10 |
| 본태성 수전증 치료법 알아보기, 본태성 떨림의 원인 및 치료 (0) | 2024.02.09 |
| 케겔운동으로 치질, 항문, 여성 건강 지키기 (1) | 2024.02.09 |
