
무지외반증에 대해 알아보도록 하겠습니다. 특히 수술을 고려하고 계신 분들이 주제에 대해 더 자세히 알아볼 수 있도록 하겠습니다. 또한, 무지외반증이 나타날 때 주로 보이는 증상과 치료 방법에 대해서도 얘기해 보도록 하겠습니다.
무지외반증, 누가 걸리는가?
기존에는 여성 환자들이 많이 생겼으나, 키를 높이기 위한 신발이나 높은 굽의 구두를 많이 신기 때문에, 남성의 무지외반증 환자도 많이 증가하고 있는 추세입니다. 그뿐만 아니라 어린아이들도 무지외반증이 생기기도 하는데, 어린이들의 경우는 통증이 없는 경우가 많고 자가진단이 어렵기 때문에 조기 치료를 받는 것이 어렵지만, 조기 치료를 받는 것이 좋습니다.

무지외반증의 증상은?
무지외반증은 발에 통증이 있지만, 더 큰 문제는 발의 변형입니다. 주로 나타나는 증상은 엄지발가락 통증과 발바닥에 굳은살이 생기는 것입니다. 휘어진 정도가 육안으로 봤을 때 심하지 않거나 매우 심하지 않는 경우에 방치하는 경우가 많습니다. 이렇게 되면 잘못된 발 모양의 습관이 생기고, 관절들의 탈구와 같은 다른 2차 질환의 발생 확률이 높아지기 때문에 각별한 주의가 필요합니다.
무지외반증의 원인과 진단
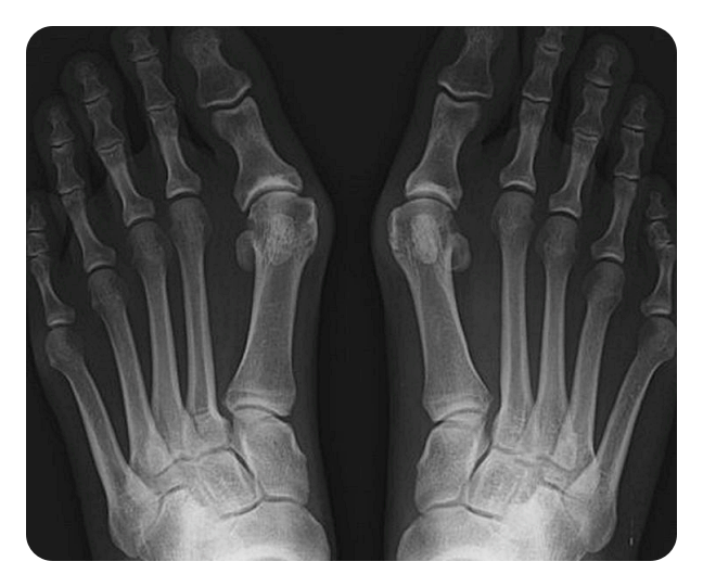
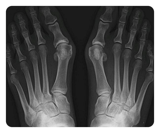
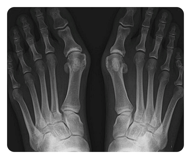
무지외반증은 엄지발가락이 두 번째 발가락 쪽으로 많이 휘고, 엄지발가락과 관절을 이루는 중족골이 안쪽으로 휘어진 형태입니다. 발생 원인은 평발이나 넓적한 발, 과도하게 유연한 발 등으로 생기기도 하며, 후천적으로 높은 굽의 신발이나 하이힐을 자주 사용하는 경우에도 생길 수 있습니다. 또한 유전적으로 발생하거나, 관절염으로 인해 합병증으로 발생하는 경우도 있습니다. 가장 흔히 나타나는 증상은 관절 안쪽의 통증입니다.

신발에 자극을 받아서 발가락이 두꺼워지면, 그 다음으로는 두 번째, 세 번째 발가락에도 영향을 주게 되며, 결국 피부 관절이 탈구되기도 합니다. 외형적 변형만 봐도 쉽게 진단할 수 있습니다. 하지만 치료 방향성을 결정하기 위해서는 방사선 찰영상 검사가 필요할 수 있습니다. 대부분 발에 체중이 실린 상태에서 찰영상을 진행하게 되고, 과학적으로 측정하여 관절의 변화를 관찰하게 됩니다. 의사는 엄지발가락의 관절 돌출 정도, 겹침 정보, 관절 자체의 통증 여부, 전체적인 관절의 유연성 여부 등을 검사하게 됩니다.
무지외반증 치료, 어떻게 결정되나요?
무지외반증의 치료는 환자가 주관적으로 느끼는 불편함의 정도가 가장 중요한 수술 여부를 결정하는 기준이라는 것입니다. 그래서 예쁜 구두를 신고 싶어서, 외관상의 이유로 수술을 받기를 원하는 경우도 있지만, 수술 후에는 흉터가 남을 수 있고, 오히려 수술 이후에 더 어려워질 수 있기 때문에 이런 점들도 고려해야 합니다.
일상에서 실천할 수 있는 무지외반증 치료법
일상적인 치료 방법으로는 편안한 신발을 신는 것이 있습니다. 발가락 부분이 좁지 않고 넓은 신발을 선택하고, 하이힐 같은 신발을 피하며, 굽이 낮은 신발을 주로 신는 것이 가장 좋습니다. 또한, 신발에 교정 안창을 넣어서 발의 교정을 돕는 방법도 있습니다.

수술을 통한 무지외반증 치료
수술 방법은 여러 가지가 있으며, 각각의 장단점이 있습니다. 환자의 상태, 가장 불편하게 생각하는 부분, 환자의 나이 등을 종합적으로 고려해서 수술 방법을 결정해야 합니다. 수술은 일반적으로 돌출된 부위를 절개하여 벌어진 각도를 교정하고, 과도한 조직을 제거하는 방식으로 진행됩니다.
무지외반증, 어떻게 예방할 수 있나요?
무지외반증을 예방하는 방법 중 하나는 발가락 부위가 넓고 굽이 낮은 운동화 같은 신발을 선택하는 것입니다. 또한 발가락 사이의 공간을 확보해주는 발가락 보조기를 착용하는 것도 도움이 될 수 있습니다.
무지외반증, 꼭 수술해야만 하는 건가요?
무지외반증은 꼭 수술해야 하는 것은 아닙니다. 무지외반증은 뼈의 정렬 상태, 환자가 느끼는 통증의 정도, 기존의 치료 결과 등을 종합적으로 고려해서 판단해야 합니다. 환자가 느낄 때 일상생활에서 큰 불편함이 없다면, 비수술적 치료로 진행을 늦추거나 멈추는 것이 현명한 판단이 될 수 있습니다. 그러나 비수술적 치료에도 불구하고 증상이 잘 나아지지 않고 악화된다면, 의사의 조언에 따라 수술이 필요할 수도 있습니다.

과거에는 이 수술을 진행하면 통증이 심하고 재발 가능성이 높다는 이야기들이 있었습니다. 하지만 최근에는 수술 기법이 많이 발전하여 통증이 많이 감소하였고, 미세 침습 방법으로 수술이 진행되기 때문에 시간도 많이 단축되었고 재발률도 크게 줄었습니다. 대표적인 수술법으로는 원위 갈매기 절골술과 근위 중족골 절골술이 있습니다. 원위 갈매기 절골술은 비교적 간단한 수술로, 안정성이 높아 변형 정도가 심하지 않은 환자들에게 적합한 수술 방법입니다.
수술 후의 생활은 어떨까요?
수술 후에는 일반적으로 4주 동안은 반깁스를 착용하게 되며, 이후에는 보조 신발을 신게 됩니다.
지금까지 무지외반증에 대해 알아보고, 이에 대한 증상과 치료 방법에 대해 살펴보았습니다. 무지외반증이라는 병명은 생소하실 수 있지만, 우리 일상생활에서 쉽게 접할 수 있는 문제입니다. 특히, 잘못된 신발 선택이나 발의 구조적 문제 등 다양한 원인으로 인해 무지외반증이 발생할 수 있습니다.
"무지외반증 수술, 꼭 해야 할까?" 이런 고민을 하고 계신 분들이 계셨다면, 이 글을 통해 그 고민에 대한 해답을 찾으셨기를 바랍니다. 무지외반증의 치료 방법은 환자의 상태와 증상에 따라 다르기 때문에, 자신의 상황을 잘 파악하고 의사와 충분히 상의하여 최선의 방법을 선택하시기 바랍니다. 건강한 발 건강을 위해, 무리하지 않고 천천히 나아가는 것이 중요합니다. 다시 한번 강조하지만, 무지외반증은 조기에 치료하면 좋은 예후를 보입니다. 여러분의 건강한 발걸음이 계속 이어질 수 있기를 바랍니다.
Table
'건강 재활 의료 정보' 카테고리의 다른 글
| 본태성 수전증 치료법 알아보기, 본태성 떨림의 원인 및 치료 (0) | 2024.02.09 |
|---|---|
| 케겔운동으로 치질, 항문, 여성 건강 지키기 (1) | 2024.02.09 |
| 고관절 인공관절 수술, 이해하고 준비하기 (0) | 2024.02.07 |
| 일과성 고관절 활액막염 이해하기: 증상부터 치료까지 (0) | 2024.02.05 |
| 고관절 통증의 원인과 종류에 대해 알아봅시다 (0) | 2024.02.05 |